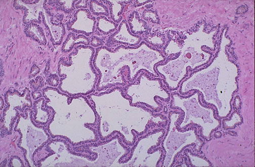
Normal seminal vesicle is composed of complex clusters of irregular channels lined by
cuboidal to columnar epithelium
, as shown here at medium power.