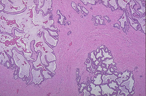
Normal seminal vesicle is composed of complex clusters of glandular channels with intervening fibromuscular stroma as seen here at low power.