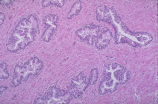
Normal prostate is composed of a mixture of glands lined by
tall columnar cells
with infoldings and the intervening
fibromuscular stroma
, in about equal proportions, as seen here at medium power.