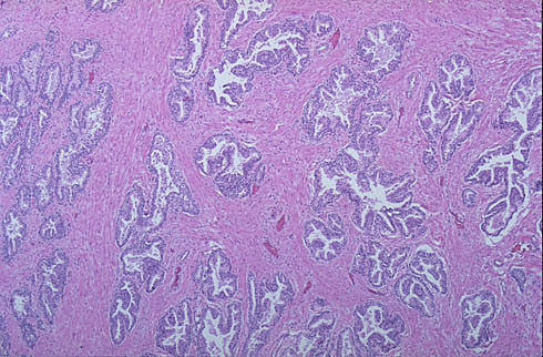
The normal male prostate gland below the bladder is composed of a mixture of
glands
and intervening fibromuscular
stroma
, in about equal proportions, as seen here at low power.