
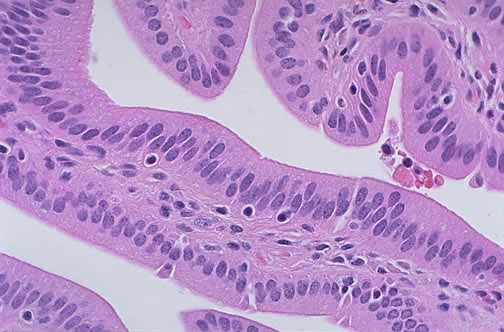
| Normal gallbladder has a mucosa with tall mucinous columnar cells lining the branching finger-like projections seen here at high magnification. A few scattered small dark blue lymphocytes are present in the connective tissue. This epithelium must be able to keep liquid bile, which contains caustic bile acids, stored in the gallbladder. |