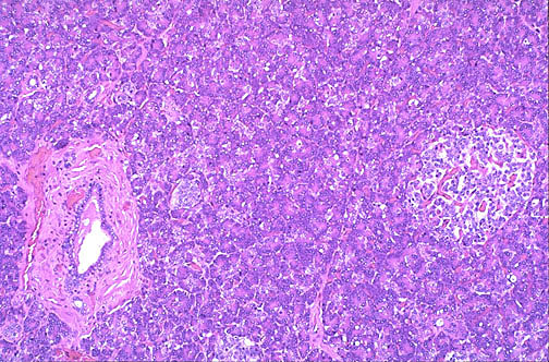
Here is normal pancreas at medium power, with a branch of the pancreatic duct at the left, surrounded by acinar tissue. An islet of Langerhans is seen at the right.