
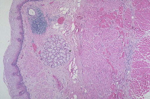
| Normal non-keratinizing esophageal squamous mucosa is seen here at the left, and there is underlying submucosa containing mucus glands, with a duct surrounded by lymphoid tissue. At the right is the muscularis with smooth muscle as well as outer skeletal muscle. |