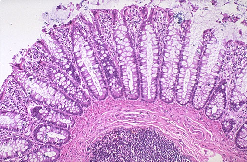
Normal colonic mucosa has
crypts
containing abundant
goblet cells
that secrete mucin. There is an underlying
submucosa
. Small
nodules of gut-associated lymphoid tissue
(collectively the largest lymphoid organ in the body).