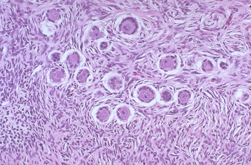
Normal adult ovary at high magnification reveals a dense ovarian cortex with abundant stroma and only a few follicles that contain the germ cells--the ova.