
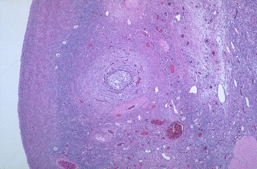
| Normal adult ovary at low magnification reveals a dense ovarian cortex with abundant stroma and few follicles. A developing primary follicle with prominent granulosa cells is seen near the center. At the lower right is a pink cloud-like corpus albicans. |