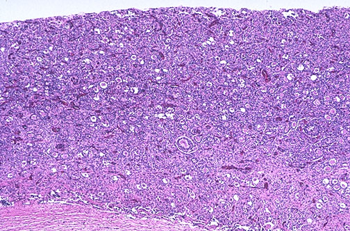
Normal fetal ovary at low magnification reveals numerous primordial follicles and little intervening stroma. Near the center a follicle shows enlargement under the influence of maternal hormones in utero.