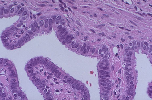
Normal adult fallopian tube has ciliated columnar cells as well as peg cells with bulbous apical projections lining the branching finger-like projections of lamina propria with its connective tissue stroma seen here at high magnification.