
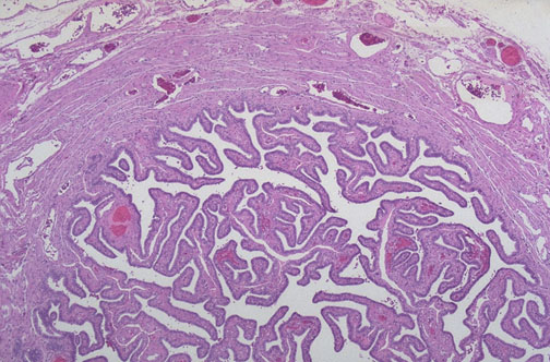
| Normal adult fallopian tube has a thin outer smooth muscular coat composed of ill-defined inner circular and outer longitudinal layers, and an inner complex branching pattern of finger-like projections of connective tissue lined by epithelial cells seen here at low magnification. The fallopian tubes conduct spermatozoa upward and ova downward to the endometrial cavity |