
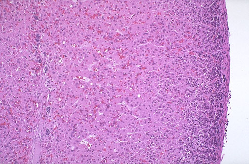
| The normal fetal adrenal gland at low magnification is composed of light and dark pink polygonal cells forming the fetal cortex, while small dark blue cells in clusters (neuroblasts) are scattered about but will eventually form the medulla. An outer zone of more compact cells will develop into the adult glomerulosa and fasiculata zones, while the fetal cortex contributes to formation of the zona reticularis. |