
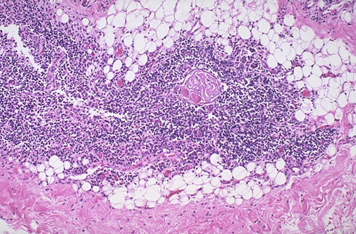
| Normal adult thymus is seen at low magnification. Beyond puberty, the thymus continues to atrophy, with decreasing numbers of lymphocytes, so that the adipose tissue becomes more prominent. Occasional Hassall's corpuscles appear in the lymphoid areas. |