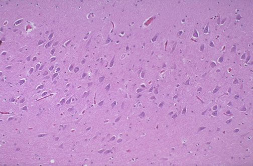
Normal hippocampus with the pyramidal
neurons
is seen at medium power.