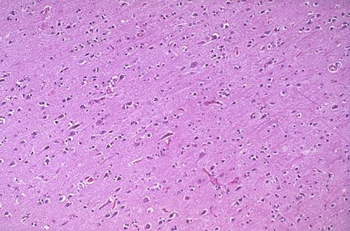
At medium magnification, the cortex of the cerebrum is shown with triangular neurons and scattered small dark glial cells in a pink neuropil background.