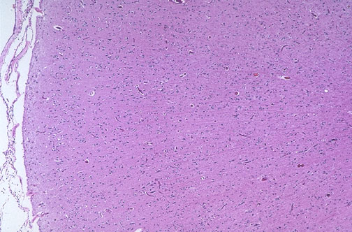
At low magnification, the cortex of the cerebrum is shown at the crest of a gyrus, with underlying white matter at the far right and the meninges at the far left. This is neocortex, with six layers, but the layers are indistinct with H&E staining.