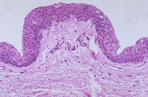
The conjunctiva, the epithelium that lines the inner surface of the eyelid is seen at low magnification. Note the scattered
goblet cells
.