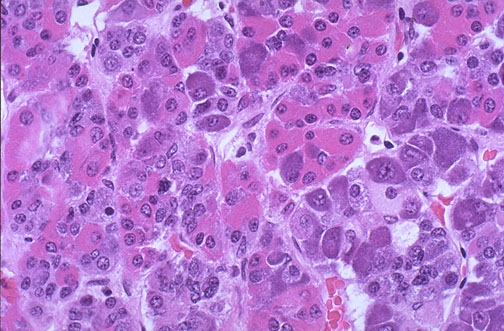
Normal adenohypophysis of the pituitary gland is seen here at medium magnification demonstrating the acidophils (pink), basophils (dark purple), and chromophobes (pale staining).