
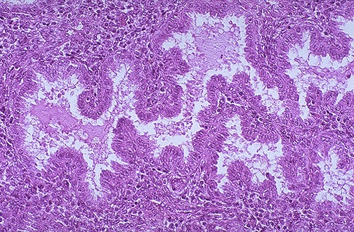
| This is normal secretory endometrium with stellate glands with intraluminal secretions, seen at medium power. Following ovulation, estrogen levels rise and support the secretory pattern, which is typically 14 days long. If implantation of a fertilized ovum does not occur, the secretory phase will be followed by a menstrual phase. |