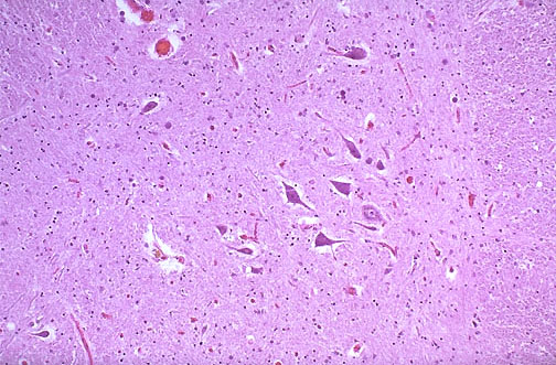
At medium magnification, the
anterior horn cells
, lower motor neurons located in the anterior horns (grey matter) of the spinal cord, are seen here. The
white matter
tracts are peripheral to the central grey matter of the cord.