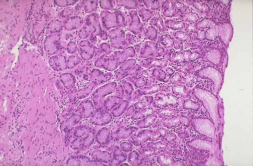
This is the normal fundus (body) of the stomach at medium power. The mucosa has short
gastric pits
, beneath which are long glands with pink
parietal cells
and
mucus secreting cells
. The parietal cells produce the hydrochloric acid.