
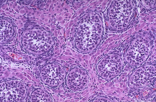
| Normal fetal testis seen here demonstrates small primitive tubules with primitive germ cells surrounded by a prominent interstitium with pink Leydig cells. At puberty, the tubules will enlarge and the germ cells begin to differentiate and produce spermatozoa. The Leydig cells produce male hormones, principally testosterone. |