
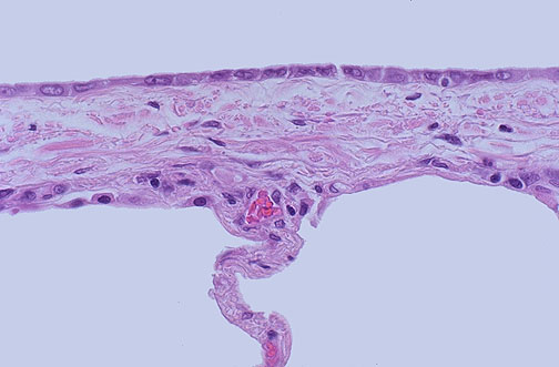
| The visceral pleural surface is seen here at high power, with a normal mesothelial surface of low cuboidal cells. There is a thin layer of connective tissue, below which are peripheral alveolar walls and alveoli. Between the visceral pleura covering the lung and the parietal pleura on the chest wall is a potential pleural space that is ordinarily filled with only a few cc's of serous fluid. |