
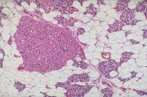
| This is a normal parathyroid gland at medium power, with abundant adipose tissue, chief cells, and oxyphil cells forming a small nodule. The chief cells secrete parathormone. The function of the oxyphil cells is not known. The amount of steatocytes varies, more with the overall amount of fat stores in the body than anything else. |