
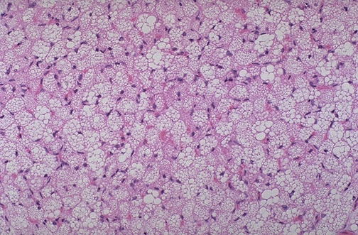
| Normal fetal brown fat, which represents a large percentage of total body fat in fetal life and infancy, but is found in only small amounts in adults, is seen here at medium power. Note that these cells have multiple small lipid vacuoles, not one large vacuole like an adult steatocyte. |