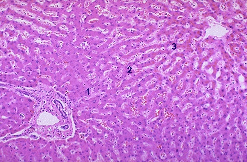
This is normal liver at medium power with zone 1 in periportal region, zone 2 in the middle of the lobule, and zone 3 in centrilobular region. A central vein and a portal triad define the lobule.