
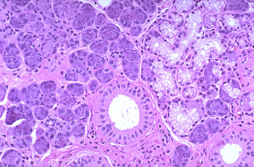
| Normal submandibular salivary gland is shown at medium power, with both serous and mucinous acini. The serous cells contain dark granules from which enzymes such as amylase and maltase are released. The mucinous cells contain pale mucin. The secretions drain into ducts. |