
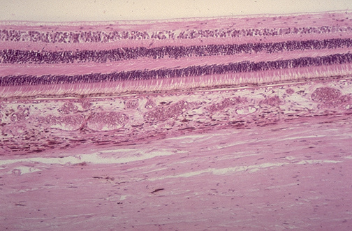
| Here is the normal adult retina of the eye at high power. Starting anteriorly can be seen the inner limiting membrane, the layer of nerve fibers, the ganglion cell layer, the inner plexiform layer, the inner nuclear layer, the outer plexiform layer, the outer nuclear layer, the outer limiting membrane, the layer of rods and cones, and the layer of pigment epithelium. Next comes the choroid, consisting of the choriocapillaris, the vessel layer, and the epichoroid. Finally, the sclera forms the capsule of the globe. |