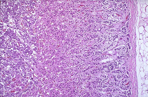
Normal adrenal gland, low power microscopic, with
capsule
at right and the
glomerulosa
, the
fasciculata
, and the
reticularis
layers of cortex extending down to the
medulla
at the left.