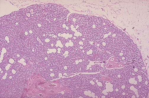
At low magnification, the normal parathyroid gland is seen to be an admixture of endocrine cells and some
adipose tissue
.