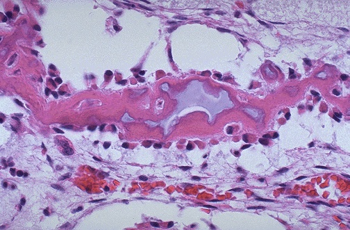
Normal fetal osteoblasts are seen here lining the outside of a newly formed bony spicule in fetal long bone at high power. These cells have eccentric nuclei. Osteoblasts have formation of new bone as a job description.