
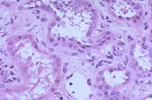
Correlation 18: Acute tubular necrosisThe proximal renal tubules demonstrate widened lumens and decreased size of the tubular epithelial cells. The tubular cells have ragged borders. This is acute tubular necrosis, or ATN, which occurs as a consequence of two different etiologies. The most common cause is ischemia--lack of sufficient blood flow to the kidney, and this is most likely to happen with cardiac diseases that lead to decreased cardiac output. About 20% of the cardiac output goes to the kidneys, so these organs are sensitive to reduced output. The second etiology is toxic injury from substances filtered through the glomeruli. Drugs excreted in the urine can sometimes have this effect. |
![]() |