
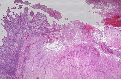
Correlation 9: Peptic ulcer diseaseNote the normal gastric epithelium, at the left while there is loss of the epithelium over the area of ulceration. Loss of epithelium in a localized area is called ulceration. The protection afforded by the epithelium is lost. A good example of this occurs in the upper gastrointestinal tract in the form of peptic ulcer disease involving the stomach and duodenum. These ulcers result from the presence of acid secreted by the mucosa of the stomach. The normal epithelium is designed to resist this acid, principally because of the mucus that is secreted over the surface of the epithelium by cells in the mucosa that produce mucus. One predisposing factor for peptic ulcers is the presence of an infection with the organism called Helicobacter pylori. This little bacterium grows happily in the overlying gastric mucus and, by itself, does not cause any damage. However, the growth of the H. pylori organisms changes the physiology of the epithelium to make it function less effectively so that ulcers can occur. Billions of dollars are spent each year in the U.S. on drugs that can either reduce acid secretion or inhibit growth of H. pylori. Any normal epithelium is normally replacing itself in days to weeks, so epithelial surfaces have the capacity to easily regrow, which is a good thing. Inhibiting the causes for peptic ulcers allows the epithelium to regrow and heal the ulcer. |
![]() |