
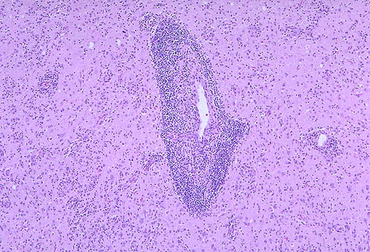
Correlation 4: EncephalitisObserve the many dark blue cells at low power magnification that have accumulated around the large blood vessel and in the surrounding brain. Normal brain tissue is composed of the gray matter with neurons, neuronal processes (axons, dendrites), and supporting glial cells, and of the white matter, which is predominantly axonal processes. When an infection involves the brain, then there are inflammatory cells that accumulate in order to fight the infection. Most infections that involve the brain itself (gray and white matter) are caused by viruses (such as West Nile virus). The inflammatory response to viral infections consists mainly of lymphocytes. These cells infiltrate around blood vessels and extend into the brain parenchyma. |
![]() |