
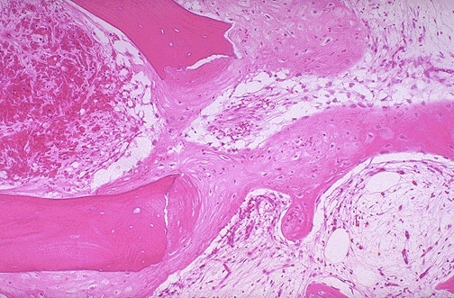
Correlation 1: Bone fractureAt medium power magnification, bone spicules have broken ends as a consequence of a fracture of bone, and there is callus formation along with areas of loose connective tissue and blood vessels. A break in a bone is known as a fracture. It is a good thing that connective tissues of the body have the capacity to heal themselves, because fractures can heal. In the region of the break, new blood vessels grow to form a highway carrying cells that can clean up the mess and can start forming new connective tissue. One of the most prominent cells in this process is the fibroblast, which can produce collagen. In the region of the fracture, a mass of collagenous material forms, and this is called a callus, which stabilizes the fracture and creates a template on which new bone can be laid down. On average, the whole process takes six to eight weeks (the standard answer to any orthopedic question). This process is much more efficient in children than adults. The standard of practice nowadays for fractures in adults is for orthopedic surgeons to put in metal plates and screws to stabilize the fracture and set it so that healing occurs without deformity (a bent bone). Joint injuries: There are two areas in the body that are particularly prone to injury to tendinous connective tissue: the rotator cuff of the shoulder and the anterior cruciate ligament of the knee. As people age, their connective tissues become less resilient and less able to take stresses and strains. Injuries in our modern society are more likely to be sports related, because there are more middle aged and older adults trying to recapture lost youth through sports activities (basketball, football, tae-kwon-do, etc). Too much strain on tendinous tissue can lead to tears which render the joints less stable. Orthopedic surgeons can try and repair such damage, as in the case of the anterior cruciate ligament (ACL), which can even be replaced with a graft. |
![]() |