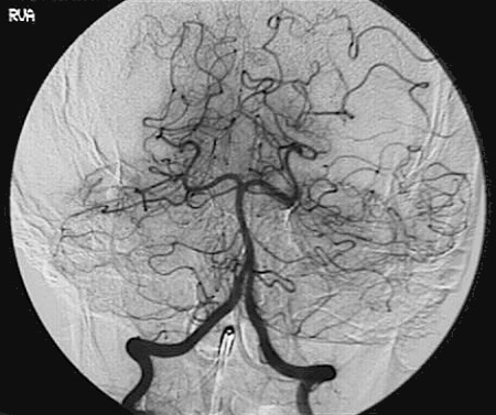
Identify the following arteries in the cerebral angiogram in the image above: Vertebral Artery - Basilar Artery