
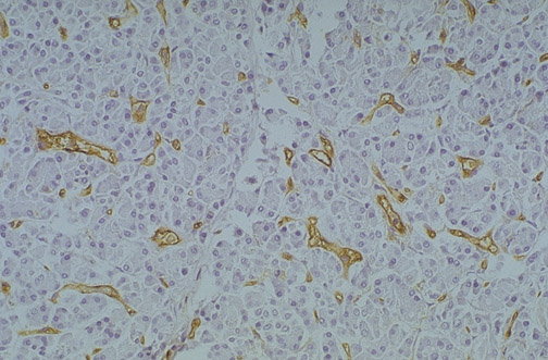
| This section of lymph node is seen with a stain for CD31, which has been shown to be a sensitive and specific marker for endothelial differentiation. There is a vascular proliferation seen here in this abnormal immune response. CD31 can help to identify vascular differentiation in neoplasms. |