
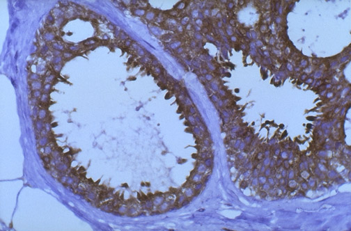
| A BCL-2 positive immunoperoxidase stain in a breast carcinoma is demonstrated here. The positive staining is in the cytoplasm. The BCL-2 gene codes for a protein that blocks apoptosis. Despite this antiapoptotic effect, overexpression of BCL-2 slows tumor cell proliferation and is associated with a better prognosis in breast cancers. |