
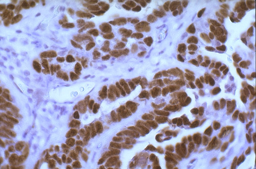
| Seen here is positive immunoperoxidase staining for p53 in a breast carcinoma. The dark brown reaction product is present in the tumor cell nuclei, since p53 is a product of a tumor suppressor gene. The p53 gene can undergo mutation in a tumor cell line. In general, the overexpression of p53 suggests a greater tumor proliferation. In breast cancers, lack of estrogen receptor positivity along with p53 positivity may suggest a worse prognosis. |