
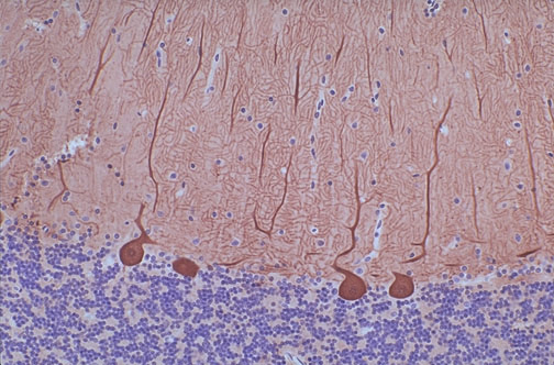
| This is the cerebellum, with the dark blue cells forming the granule cell layer below and the molecular layer above, with large Purkinje cells in between that are staining positively with antibody to calbinden with this immunohistochemical stain. Calbinden (a calcium binding protein) is found in neuronal cells. |