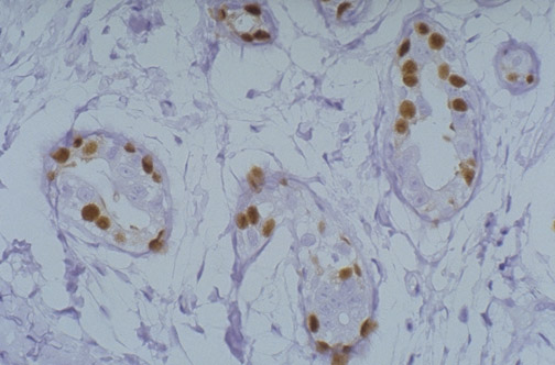
Approximately 50% of the cells of this breast carcinoma are staining positively for estrogen receptor.