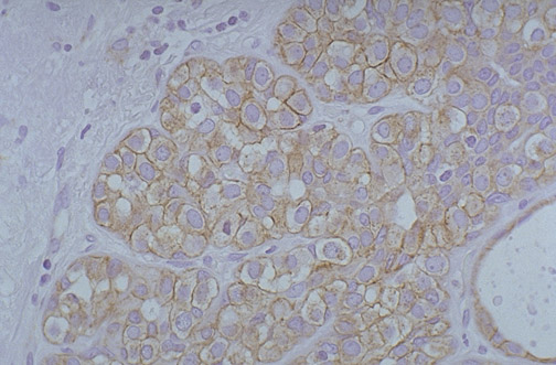
There is weak perimembranous staining for HER2-neu (C-erb B2), with a score of 2+, classified as positive, for this breast carcinoma.