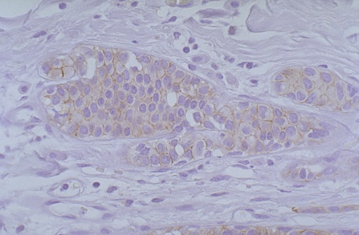
There is minimal perimembranous staining for HER2-neu (C-erb B2), with a score of 1+, classified as negative, for this breast carcinoma.