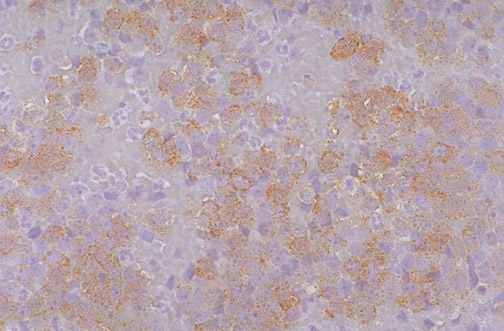
The small round blue cell tumors of childhood include the neuroblastoma seen here. The neuroendocrine nature of this neoplasm is suggested by staining with antibody to neuron specific enolase (NSE).