
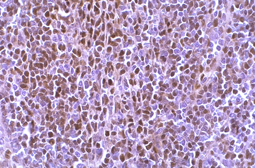
| This is a mantle cell lymphoma involving the spleen. Mantle cell lymphoma (MCL) cells can have a characteristic t(11;14) translocation by chromosome analysis. Seen here is nuclear staining of the cells with antibody to cyclin D1 (Bcl-1). Such a staining pattern helps distinguish MCL from small lymphocytic lymphoma (SLL). |