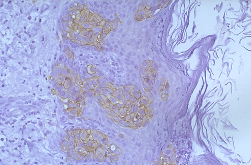
Here is a C-erbB-2 (HER2-neu) positive Paget's disease of breast seen under medium power. Note the perimembranous staining pattern (cytoplasmic staining is nonspecific).