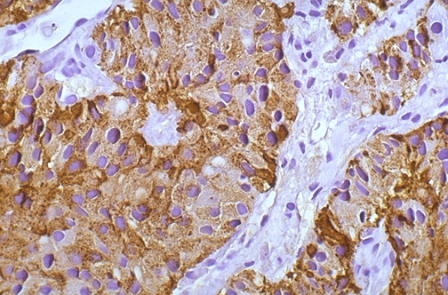
Chromogranin is a marker for cells with neuroendocrine differentiation. Seen here are positively staining cells in a neuroendocrine carcinoma of the colon.