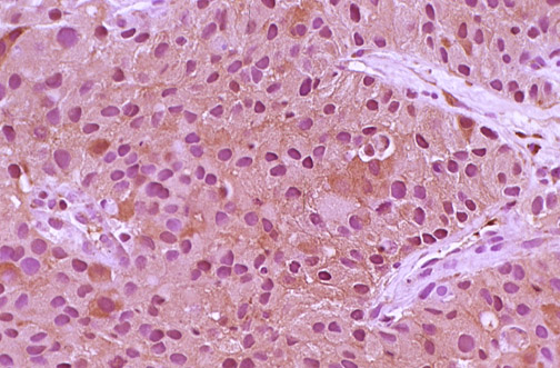
Synaptophysin staining is demonstrated in the cytoplasm of these cells from a neuroendocrine carcinoma.